Ash
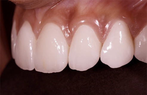
Eight ultra-thin Knight Ceramic Veneers transformed this young ladies smile and also gave her dentist something to smile about.
Winning the Smile of the Year Trophy with this beautiful case was the highlight of an incredible evening for Dr Arun Darbar at the prestigious annual Smile Awards in which he also won The Generosity of A Smile Award with another Knight Dental Design case.
Arun praised the laboratory for their outstanding technical work on the cases and invited Tony and Dorothy Knight to join his team on stage for their celebrations. Dr Darbar joins a growing number of our clients who have won major awards in the industry. Congratulations Arun!
Procedures undertaken:
previous case study next case study





