Katie
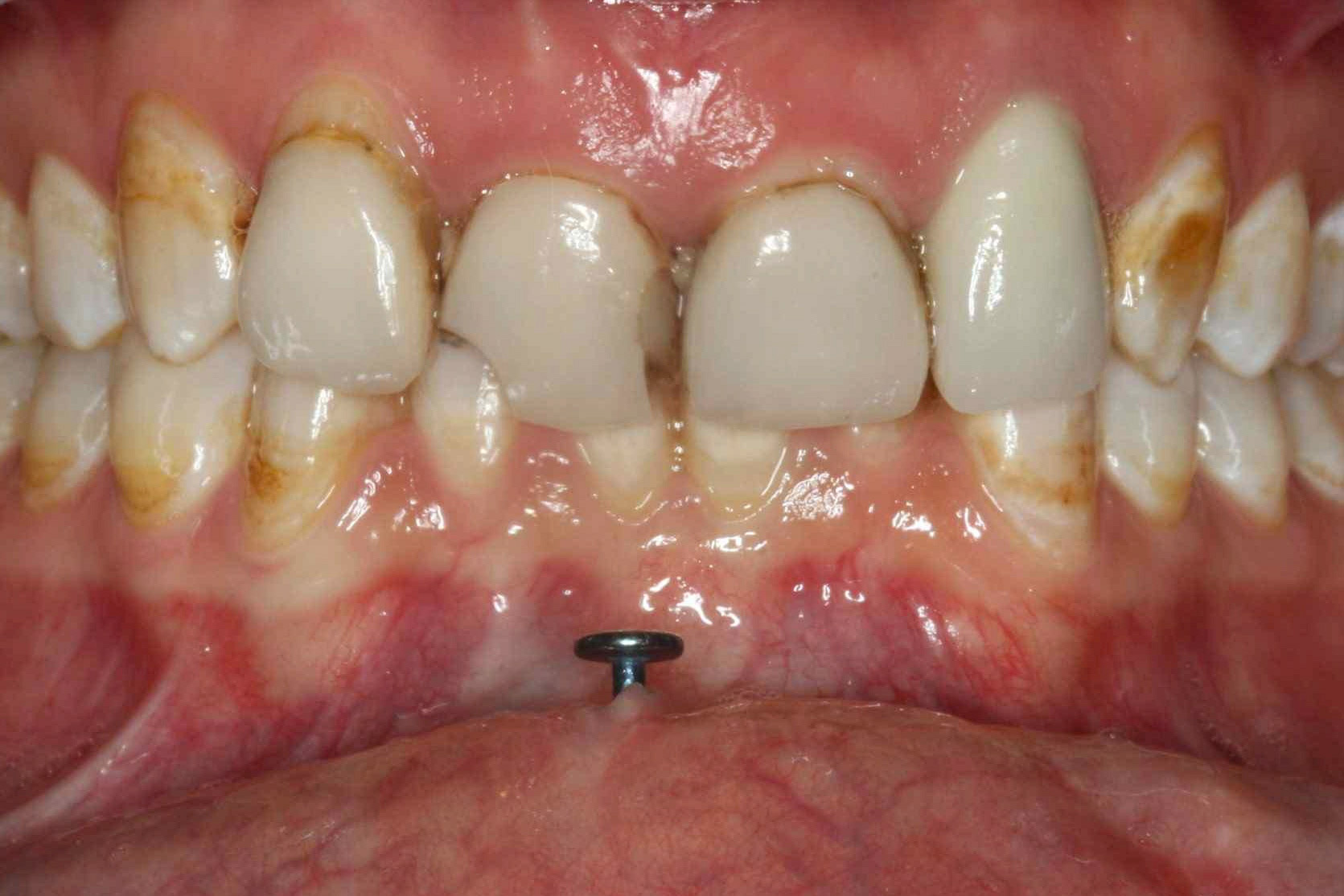
Four all ceramic crowns and four knight ceramic veneers transformed her smile.
The latest generation veneers are four times stronger than Katie’s old veneers and will keep her smiling for many years.
Katie’s teeth were in need of some cosmetic upgrading to compliment her appearance.
Katie’s old veneers veneers had fractured and her gums had receded.
Procedures undertaken:
previous case study next case study


