Liam
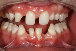
After winning the 2009 Grand National on his first ride on a 100/1 outsider Liam Treadwell could have expected plenty of media attention. As he rode into the winner’s enclosure after his stunning victory Liam mentally prepared for the live TV interview that would be seen by millions. Expecting to answer questions on his race Liam was unprepared for what was to become one of the most embarrassing TV interviews in sports history.
As the BBC’s racing correspondent Claire Balding thrust the microphone under Liam’s nose and congratulated him he heard the applause of the crowd turn to embarrassed laughter when Claire continued with “Give us a big grin!” As the crowd laughed and Liam smiled with his lips closed she continued with “No, let us see your teeth Liam. Liam hasn’t got the best teeth in the World but you can afford to go and get them done now.” In the ensuing media furore over Claire’s insensitive gaffe there were many calls for her resignation.
Soon after the race I was asked by our client Dr Thang Nghiem at Ultrasmile to meet Liam and to assist Thang in the formulation of a treatment plan to give Liam a new more attractive smile. On assessing Liam’s dentition it became obvious that his smile makeover would not be simple or quick. A combination of retained deciduous teeth, congenitally missing teeth and diastemas between the permanent teeth presented a complex aesthetic challenge. Using mounted study models and radiographs Thang and I began to plan a complex treatment programme involving extraction of the deciduous teeth, the placing of two implants and orthodontics to move the central incisors to a more favourable restorative position.
The first stage of the treatment plan was for the lab to produce a cosmetic digital simulation to check the feasibility of the planned aesthetic changes. The simulation allowed Liam to see, discuss and approve the proposed treatment objectives and was a “blueprint” for the next stage of planning, the diagnostic wax up. One of the aesthetic problems illustrated by the simulation was the lack of space for the lateral incisors. Fortunately the 3.5mm diastema between the central incisors allowed us to digitally reposition the 1/1 to create space for the 2/2 and to improve the proportion of all of the incisors.
Back in the lab the simulation was used to guide the diagnostic waxing. Before commencing diagnostic waxing the upper incisors were sectioned from the model and replaced in the predicted post orthodontic position with the diastema closed. Upper left B and C and lower right A were removed from the model as these teeth would be extracted.
In the maxilla teeth 11 and 21 were prepared for eMAX Veneers. Teeth 16,14, 24, 25 were prepared for eMAX Onlay / Veneers. Bio Horizon implants were placed in the 22 and 23 positions for which custom made Zirconia abutments were fitted which would be completed with eMAX Crowns. In the mandible teeth 33, 41 and 43 were prepared for a six unit Zirconia bridge layered with eMAX ceramic and teeth 34, 35, 44, 45 for eMAX Onlay / Veneers.
Temporaries were created from putty matrices of the diagnostic wax ups and adjusted. After three days the temporaries were re-evaluated and minor adjustments made until the occlusion, aesthetics and phonetics were considered optimal. An alginate impression of the patient approved temporaries was then taken and the subsequent model used as the guiding index for the final restorations.
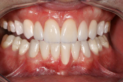
The variety of restorations needed included veneers, crowns, onlays, two unit cantilever bridges, and a six unit bridge. To achieve outstanding aesthetics it was decided to keep Liam’s restorations metal free. eMAX from Ivoclar was chosen as we felt that it was the only material that allowed us to create all restorations from the same ceramic system thus avoiding the inevitable shade discrepancies created when combining varied systems. The cantilever bridges crowns, veneers, inlays and onlays were produced using the press and layer technique to achieve high strength from the 400mpa base pressings. eMAX low translucency press ingots in shade BL4 were pressed, fitted and layered using a variety of enamels and colour effects. The lower anterior six unit bridge was created with a milled cad cam designed zirconia framework layered with eMAX ceramic.
Liam’s case was completed and fitted just two weeks before his ride in the 2010 Grand National allowing him to smile confidently at last, and while he was unable to repeat his 2009 triumph he at least now has a winning smile.
Procedures undertaken:
previous case study next case study



