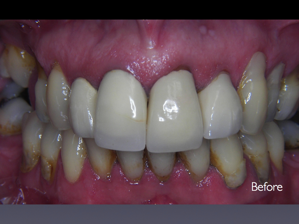
Vanessa

Vanessa old crowns contained metal that often gave them a grey opaque appearance.
The new generation all ceramic crowns contain no metal and are indistinguishable from healthy natural teeth.

Procedures undertaken:

previous case study next case study