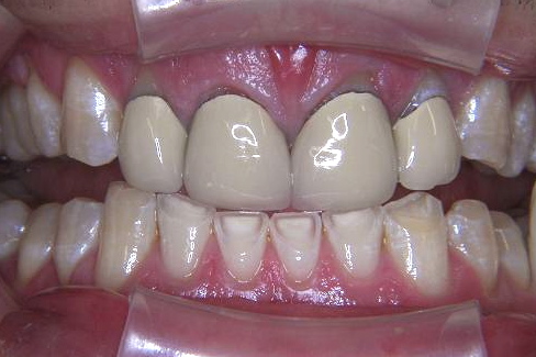
Darren
Darren’s old crowns and worn discoloured natural teeth put years on his smile. Treatment of his bite and restoration with Knight All Ceramic Crowns and Veneers took 20 years off Darren’s smile to give him a bright,clean, masculine smile.
Procedures undertaken:
previous case study next case study

