Linda
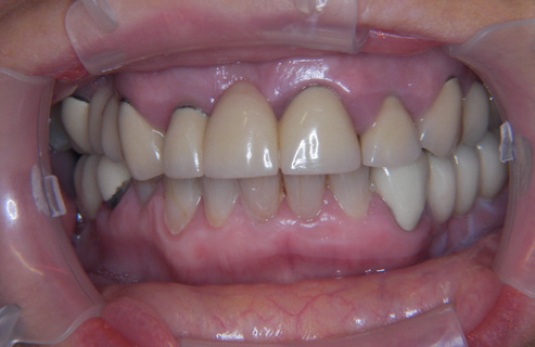
Unattractive old crowns let down Linda’s smile. A complete smile makeover with Knight Veneers and All Ceramic emax crowns gave Linda a totally energised new look.
Procedures undertaken:
previous case study next case studyUnattractive old crowns let down Linda’s smile. A complete smile makeover with Knight Veneers and All Ceramic emax crowns gave Linda a totally energised new look.
Procedures undertaken:
previous case study next case study